목차
마이코플라즈마 폐렴 증상은 독감과 비슷하지만 정확하게 마이코플라즈마 폐렴 세균에 감염이 된 건지 독감인지를 확인해야 합니다. 아래에서 검사방법과 그 이유에 대해서 자세하게 알려드리겠습니다.
마이코플라즈마 폐렴
연일 뉴스에서 보도되고 있는 마이코플라즈마 폐렴은 갑자기 생겨난게 아닙니다
3년에서 5년주기로 유행하는 유행성 폐렴 세균입니다.
그동안은 이렇게까지 심각하게 다뤄지던 문제가 아니었는데 코로나 팬데믹을 겪으면서 처음 듣거나 미지에 무언가에 대한 공포감과 초기대응 미흡으로 순식간에 확산된 게 안타까운 현실입니다.
마이코플라즈마 폐렴은 백신은 없지만 오랜시간동안 연구됐고 충분히 치료할 만큼의 다양한 약들이 존재하기 때문에
평소 질환이 없거나 건강하게 일상생활을 하셨던 분들이라면 만약 현재 걸리셨더라도 크게 걱정하지 않으셔도 됩니다.
마이코플라즈마 폐렴 검사
현재까지 마이코플라즈마 검사는 비인두 흡인성 검사 , 혈액검사, 흉부촬영 총 세 가지가 있습니다



비인두 흡인성 검사(PCR)
이미 코로나때 많이 경험해 보셨을 겁니다
면봉으로 코와 목에서 세균을 채취해서 검사하는 방식입니다
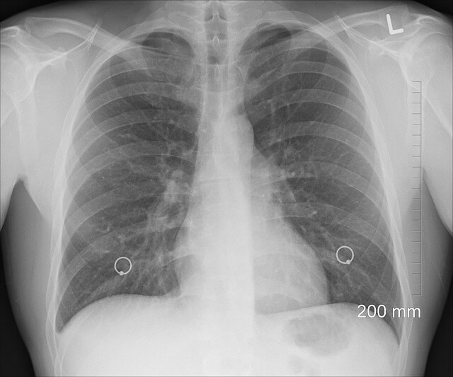
흉부촬영
마이코플라즈마 폐렴의 가능성에 대해 판단할 때 제일 빠르게 알 수 있는 방법 중 하나입니다
폐렴이란 이름처럼 엑스레이에서 폐아랫부분에서 집중적으로 발견되는 점이 있습니다
혈액검사
혈액검사 같은 경우 잠복기간과 세균의 활성도가 다르기 때문에 감염 후 대략 10일 이후부터 발견된다는 점이 있지만 혈액 안에 세균의 항체감염도를 확인하는 만큼 정확도가 좋습니다.
검사 양식
설명을 위해 검사를 세분화시켰지만 위에 검사 중 한 가지를 선택해서 진행하지는 않습니다
소아를 위주로 유행하는 병이다 보니 여러 여건들을 종합해 보통 두 가지 이상을 함께 진행합니다
혈액 또는 엑스레이와 호흡기 세균 pcr 등을 함께 진행하며 보완해서 검사에 정확도를 높입니다.



마이코플라즈마폐렴 꼭 검사해야 하는 이유
마이코플라즈마 폐렴은 우리가 알고 있는 일반 항생제가 효과가 없습니다.
그래서 증상이 독감이라 처방받은 약을 꾸준히 복용해도 나아지는 게 없을 때 검사를 진행했지만
지금처럼 유행일 땐 필수로 검사를 진행합니다
마이코플라즈마 폐렴 전용 항생제를 사용해야 드라마틱한 효과를 볼 수 있기 때문에 정확한 검사가 필요합니다.



마이코플라즈마폐렴 진단키트
결론부터 말하자면 마이코플라즈마 폐렴 진단키트는 국내에서는 구할 수 없습니다
정확히는 현재까진 국내에서는 마이코플라즈마 폐렴 전용 키트가 없습니다.
국내에 진단키트로 유명한 회사들도 다중진단키트(여러 균을 한 번에 진단할 수 있는키트)로 충분히 마이코플라즈마 폐렴을 진단할수있는 검사키트를 만들 수 있다고 합니다
하지만 마이코플라즈마 폐렴은 보통 3년에서 5년 주기로 유행하는 유행성 세균이다 보니 이익적인 부분과 여러 상황 때문에 따로 개발되지는 않은 것으로 예상하고 있습니다
국내에서도 마지막으로 유행했던 게 2019년이 마지막이었으니까요
좋은 소식도 있습니다.
중국에서 사용하고 있는 마이코플라즈마 폐렴균 전용 진단키트 수입을 허가했다는 기사를 읽었습니다
진단키트가 수입된다면 마이코플라즈마 폐렴 검사를 좀 더 신속하게 진행해서 빠르게 진단을 내릴 수 있으니 매우 좋은 소식입니다



정리하며
우리 아이가 아픈데 평정심을 유지하기 힘든 게 당연합니다
그래도 마이코플라즈마 폐렴은 여러 뉴스에 보도된 것처럼 코로나 같은 미지에 영역이 아닌
오랜 시간 유행했고 그때마다 훌륭하게 치료한 역사가 있는 병입니다
코로나 때문에 뭔가 유행한다는 얘기가 들리면 많이 걱정되시겠지만 너무 예민하고 민감하게 반응하지 마시고 우리 아이 곁에서 충분한 수분섭취와 회복에 전념할 수 있게 도와주세요
요즘은 병을 키우는 옛날과는 다르게 모두 초기에 진료를 받으시기 때문에 크게 걱정하지 않으셔도 괜찮습니다
꾸준히 약 먹고 병원에서 진료를 받으면 금방 회복되는 병입니다
원래 조금 오래가는 병이기 때문에 크게 걱정하지 않으셨으면 좋겠습니다.
함께 보면 좋은 포스팅
마이코플라스마 폐렴 치사율 위험성
국내에 마이코플라스마 폐렴이 유행하고 있습니다 결론부터 말씀드리면 마이코플라스마 폐렴(마이코플라즈마 퍠렴)의 치사율(위험성)은 낮은 편이니 걱정하지 않으셔도 괜찮습니다. 그래도 우
111.alfonsosia.com
빈대 퇴치 및 예방법 , 잘못된상식 알아보기(+경험담)
13일부터 전국 지자체와 정부에서 최근 자주 접수되는 빈대퇴치에 해결책으로 빈대 집중 방제 기간을 운영하기로 결정하는 등 요새 전국적으로 빈대에 대한 이야기가 많이 나오고 있습니다. 이
alfonsosia.com
올케디아정 효과 및 용법 주의사항 알아보기
식품의약품 안전처가 수입 신약인 한국쿄와기린의 올케디아정 1mg,2mg(에보칼세트)를 15일 허가했습니다 투석 중인 만성신부전 환자에게 생길 수 있는 이차성 부갑상선 항진증 치료에 사용하는
alfonsosia.com
식약처 승인 아큅타정 (아토게판트,atogepant) 효능 부작용 알아보기
편두통으로 약을 처방받아 복용하는데도 효과가 미미하신 분들한테 희소식입니다. 오는 15일 식품의약처 안전처(식약처)에서 편두통 예방약으로 사용할 수 있는 신약 한국 에비브의 아큅타정 10
alfonsosia.com
